
2026年3月19日
患者さまから「入れ歯が使いにくい・痛い」「入れ歯の金具が気になる」という悩みをお聞きします。
また、入れ歯をにより隣の歯が一緒に揺れて動いてしまうというお声も耳にします。
こういったお悩みを解決するのが「コンフォート義歯」(審美義歯)です。
KIさんのケースについてご紹介します。
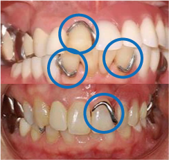
KIさんの場合、左上の2本の歯が破折により欠損してしまいました。
一般的に、欠損ができた際には、丈夫な歯同士をつなぐ「ブリッジ」という方法が使われます。
抜けた歯の両隣の歯を土台として、人工の歯を橋のようにつなげて入れます。
そのため、下記写真(青い丸で囲った部分)のような金属やつまみが付くことになります。

しかしKIさんの場合、左側の奥歯が既に5本ブリッジとなっており、使えない状態となっていました。
そのため、保険の義歯を作成することになりました。
実際に保険の義歯を装着してみると、義歯がガタついて揺れる、ものが詰まる、金属が気になって話し辛いなどの弊害が出てきてしまいました。
そこで提案させて頂いたのが「コンフォート義歯」です。
コンフォート義歯は金属の代わりに特殊なアクリル樹脂(ポリカーボテート)を使用しています。
隣の歯に負担をかけない、床の内側に軟かいシリコンが敷き詰めてあり、強く噛んでも痛みが出にくいというメリットがあります。
また口元が自然に見えて、若々しくなります。
実際にKIさん専用に作成したコンフォート義歯はこちら↓

KIさんが装着したコンフォート義歯はこちらです。

KIさんの場合
| 治療期間 | 3週間 |
| 通院回数 | 2回 |
| 治療費 | 148,000円 |
金属が無く見た目がよい(裏側に一部使用)
シリコンにより咀嚼時痛みが少ない
歯の揺れや動きが少ない
隣接歯をほとんど削らなくてよい
比較的長持ちする(約5年)
2年間のメーカー保証つき
価格が自費のためやや高額
修理は可能だが難しい
長期使用により緩くなる時がある
お使いの義歯で同じようなお悩みの場合には、「コンフォート義歯」で解決できることもございます。
まずはお気軽にご相談下さい。